L’agobiopsia è una procedura mediante la quale viene prelevato del materiale biologico (cellule o liquidi nel caso dell’agoaspirato, frammenti di tessuto nel caso dell’agobiopsia) per eseguire esami cito-istologici, microbiologici e molecolari. La procedura viene eseguita in anestesia locale, sotto guida ecografica o tac, in regime ambulatoriale per organi superficiali (tiroide, linfonodi superficiali, mammella), di day hospital in caso di strutture profonde (polmone, fegato, rene, pancreas etc). La diagnosi consentirà di attuare una strategia terapeutica specifica per ciascun tipo di patologia.
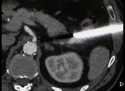
Come viene praticata?
In anestesia locale, sotto guida per lo più ecografica o tac, viene inserito un sottile ago all’interno della lesione ed estratto un frustolo di materiale che viene immerso in una soluzione di formalina ed inviato in laboratorio.
Generalmente si ottengono più campioni in punti diversi della lesione attraverso una unica puntura, tramite l’utilizzo di una cannula che viene lasciata in situ sino al termine della procedura; estratta, infine, la cannula ed eseguita la medicazione viene praticato il controllo radiologico finale al termine del quale il paziente potrà tornare in reparto.
A seconda della tipologia di intervento il paziente dovrà restare a riposo e in osservazione per un periodo variabile - in genere di qualche ora - e quindi dimesso.
Quali sono i rischi?
Si tratta di una procedura sicura, con un tasso di complicanze ridotto. Le complicanze più frequenti sono rappresentate dal pneumotorace, nel caso di biopsie polmonari, generalmente di lieve entità e a risoluzione spontanea, e da emorragia, anche questa in genere di lieve entità e non necessitante di alcuna terapia.
Le opinioni dei Pazienti
Antonio Romano
Professionista serio ed esperto, oltre che competente, per niente venale. Apprezzabile la disponibilita' verso il paziente anche in termini di consigli e orientamenti. Molto efficiente e collaborativa la segretaria ,Sigra Antonella.
"embolizzazione fibromi uterini
W. R.
17 novembre 2020 Presso: HSR Giglio • visita di radiologia interventistica
Durante il mio recente ricovero per embolizzazione di fibromi uterini, ho sperimentato la disponibilità, gentilezza, puntualità del Prof. Franco Valenza. L'intervento che definisco illuminato ha dato brillanti risultati.
Sara Crisafi
Paziente verificato
16 novembre 2020 Presso: HSR Giglio • visita di radiologia interventistica
Salve a tutti mi chiamo Sara, ho un utero fibromiomatoso, da anni la qualità della mia vita è decisamente scarsa. L'11 Novembre mi sono sottoposta al trattamento di embolizzazione delle arterie uterine con il dott Valenza che è stato molto rassicurante sulla procedura alla quale avrei dovuto sottopormi. Durante il trattamento, al quale ho partecipato perche sveglia e lucida mi sono sentita serena e al sicuro perché tutto il team del dott Valenza rispondeva ad ogni mia domanda e si accertava costantemente di come mi sentissi. Dopo l'intervento sono tornata in reparto stavo bene. Intorno al pomeriggio ho iniziato ad avvertire i primi dolori di cui tanto mi avevano parlato. Io ho sofferto poco poiché il trattamento è tenuto sotto controllo dai farmaci e dalla disponibilità degli infermieri e medici del reparto che mi hanno aiutato tantissimo. Il secondo giorno andava sempre meglio e gia al terzo, sono stata dimessa tra l'altro non ho avuto febbre alta solo intorno a 37 ho iniziato a mangiare con appetito al 3 giorno. Bisogna stare a riposo ed è quello che ho fatto e sto facendo per non avere complicazioni future di infezioni, ma sento gia il basso ventre più vuoto non mi da pressione alla vescica e vado in bagno solo quando devo urinare e non a causa della pressione dei miomi sulla vescica. Sono veramente felice di avere conosciuto il dott Valenza e il suo team sono medici preparati e persone umanamente eccezionali. Grazie
osteoma osteoide
salvatore
Serietà e professionalità
Da circa un anno avvertivo dei dolori all'inguine, soprattutto fortissimi di notte. Dopo una visita Ortopedica mi viene diagnosticata pubalgia. Tra diverse cure e fisioterapie non avvertivo nessuna miglioria, il mio radiologo Dott. Antonello Bosco (persona che stimo e ringrazio tanto) mi consiglia una risonanza che escludesse la prima diagnosi e mi diagnostica un osteoma osteoide.
A questo punto con mio papà e consigliato dal nostro amico dott. Bosco, iniziamo una ricerca su come intervenire.
La migliore e consigliata è stata la Radiologia Interventistica.
Contattati diversi Ospedali del nord che ci prospettavano lunghe attese, più di cinque o sei mesi, tramite amici dottori vengo a conoscenza del Dott. Valenza Franco, Radiologo Interventista di Villa Sofia di Palermo, rivelatosi sin da subito persona gentilissima e disponibile. Tramite contatti telefonici in meno di due settimane organizza l'intervento e finisce il mio calvario. Non ho parole per poter ringraziare questa persona e tutto lo staff dell'ospedale di Villa Sofia di Palermo.
Patologia trattata
Osteoma osteoide.
Calin Alexandra
Bravissimo! Abbiamo provato di fare un piccolo intervento dai altri dottori , che ci hanno fatto aspettare quasi un anno inutile! Dopo una chiamata con il dottore Valenza ci siamo mesi d’accordo e in 3 settimane abbiamo fatto tutto , anche il intervento! Ringraziamo tantissimo al dottore per la sua disponibilità! Per noi è stata una cosa meravigliosa!
"Letizia
Letizia
16 novembre 2020 Presso: HSR Giglio • visita di radiologia interventistica
Per il Dott.Valenza posso spendere solo parole positive.Un professionista che ti mette a tuo agio e ti trasmette sicurezza,ti segue con estrema attenzione e umanita' in ogni passo del percorso e nel mio caso anche nel post intervento,dato che posso sempre contare sulla sua disponibilita'.
Lo consiglio vivamente,abbiamo bravi medici qui in Sicilia,non e' necessario fare viaggi della speranza!
Salvatore D'Armata
Paziente verificato
16 novembre 2020 Presso: HSR Giglio • ablazione
Il dott. Franco Valenza è un grande uomo, un grande medico, un’eccellenza nella nostra sanità
L’esame radiologico e la successiva operazione si sono svolte con professionalità e precisione
Non riesco a trovare nessun difetto
Lo consiglio a tutti
"


